Prendre un rendez-vous : 450 973-2006
English
| ZONE PRIVÉE
Accueil
L'orthodontiste
La clinique
Les traitements
Réalisations
Nous joindre
Facebook
Accueil
L'orthodontiste
Dr Christian Fournier
L'orthodontie
La clinique
Les traitements
Invisalign
Incognito (boîtiers linguaux)
Les boîtiers transparents
Les boîtiers SPEED
Réalisations
Nous joindre
Zone privée
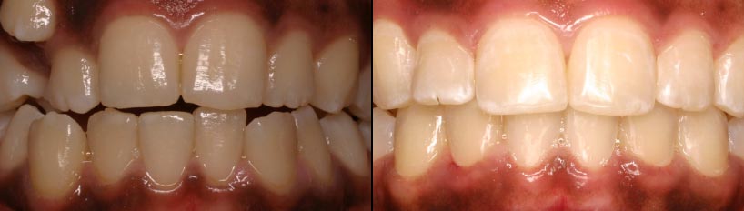
Exemples de réalisations du Dr Christian Fournier
Retrouvez ici plusieurs réalisations présentant des corrections dentaires différentes.
facebook
Solution ServDentist Web™
par InfoSign Média Inc.
Politique de confidentialité
Membre du réseau